Export Control
EAR Export Classification: Not subject to the EAR per 15 C.F.R. Chapter 1, Part 734.3(b)(3), except for the following Service Bulletins which are currently published as EAR Export Classification 9E991: SBE70-0992, SBE72-0483, SBE72-0580, SBE72-0588, SBE72-0640, SBE73-0209, SBE80-0024 and SBE80-0025.Copyright
© IAE International Aero Engines AG (2001, 2014 - 2021) The information contained in this document is the property of © IAE International Aero Engines AG and may not be copied or used for any purpose other than that for which it is supplied without the express written authority of © IAE International Aero Engines AG. (This does not preclude use by engine and aircraft operators for normal instructional, maintenance or overhaul purposes.).Applicability
All
Common Information
TASK 70-02-11-220-501 IAE 1440 Microstructure For Metal Temperature Analysis
Safety Precautions
General
Refer to the SPM TASK 70-02-03-220-501 for the procedure to do a metal temperature analysis on nickel-base alloys.
IAE 1440 is the specification for a nickel-base single crystal investment casting alloy that also contains chromium, cobalt, tungsten, tantalum, titanium, hafnium and aluminum. The microstructure standards for the heat treated and coated alloy are contained in separate paragraphs in this section.
The microstructure of the blade root or shroud sections is not affected due to the relatively low metal temperature obtained during engine operation. This microstructure supplies an optimum baseline for comparison with the airfoil 'hot zone' for metal temperature determination.
Fig 1 and 9 show typical microstructure below 2050 deg F (1121 deg C) of IAE 1440 single crystal nickel-base super alloy, which is:
Heat treated at 2330 to 2400 deg F (1277 to 1316 deg C) and held at the maximum temperature for at least 30 minutes.
Cooled to 2100 deg F (1149 deg C) at a rate of 115 deg F (64 deg C) for each minute or faster.
Cooled to below 800 deg F (427 deg C) at a rate equivalent to air cool or faster.
Heated to 1950 to 2000 deg F (1066 to 1094 deg C) for four hours and cooled to room temperature at a rate equivalent to air cool or faster.
When necessary, precipitation heat treated at 1575 - 1625 deg F (857 to 885 deg C) for 32 hours and air cooled.
NOTE
The typical microstructure of this fully heat treated super-alloy is characterized by an array of fine quasi-rectangular gamma prime precipitate (Ni3Al, Ti) in a gamma matrix (nickel-base solid solution).
This array consists of:
A fine gamma prime precipitate in dendritic arms.
Patches of somewhat coarser gamma prime precipitate which can occasionally appear within the matrix, and/or bordering the eutectic gamma/gamma prime islands.
Effects of Temperature on the Microstructure
The most obvious effects of high temperature on the fine matrix gamma prime precipitate, are changes in:
Concentration
Size
Distribution.
Other microstructural changes are:
Coalescence of the gamma prime eutectic
Solutioning of the gamma prime eutectic.
Metallographic Standards
NOTE
Illustration Titles
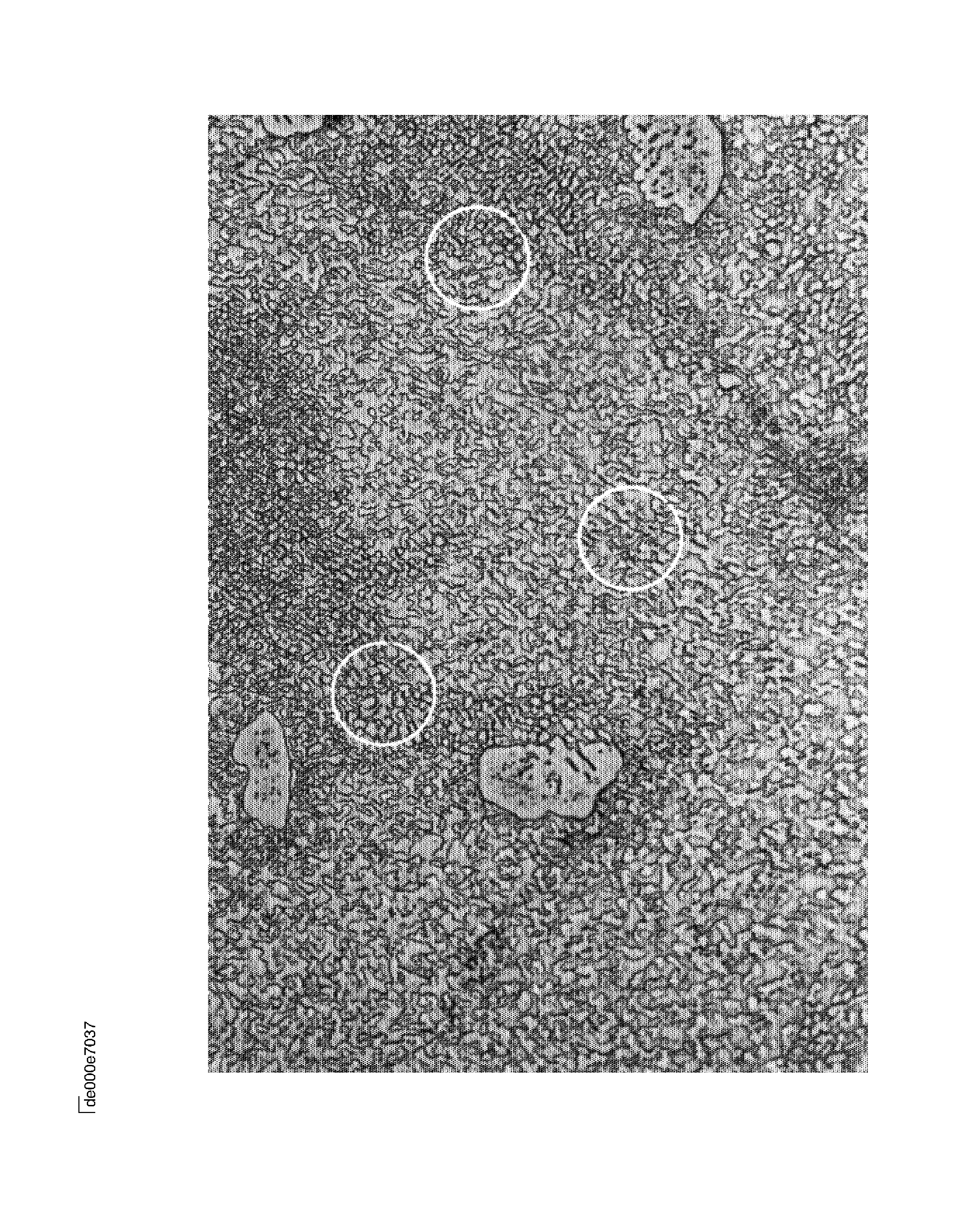
Figure: Microstructure of specification heat treated IAE 1440 single crystal nickel-base alloy that shows a relatively dense uniform array of fine gamma prime precipitate (circles A). A coarse gamma prime precipitate (circle B) and gamma/gamma prime eutectic island (arrow) - Etchant: Mixed acids
Figure: Microstructure of IAE 1440 single crystal nickel-base alloy after exposure to 2050 deg F (1121.1 deg C) that shows a slight agglomeration of the fine gamma prime precipitate, the result of which is irregularly shaped particles (circles) - Etchant: Mixed acids
Figure: Microstructure of IAE 1440 single crystal nickel-base alloy after exposure to 2100 deg F (1148.9 deg C) that shows a further agglomeration of the fine gamma prime precipitate (circles) - Etchant: Mixed acids
Figure: Microstructure of IAE 1440 single crystal nickel-base alloy after exposure to 2150 deg F (1176.7 deg C) that shows considerable agglomeration and moderate solutioning of fine gamma prime precipitate (circles). Some solutioning of eutectic phase is also seen (arrows) - Etchant: Mixed acids
Figure: Microstructure of IAE 1440 single crystal nickel-base alloy after exposure to 2200 deg F (1204.4 deg C) that shows solutioning of the gamma prime precipitate is at an advanced stage. The remaining agglomerated gamma prime precipitate is seen as elongated particles arranged in a preferred directional pattern (circles) - Etchant: Mixed acids
Figure: Microstructure of IAE 1440 single crystal nickel-base alloy after exposure to 2250 deg F (1232.2 deg C) that shows extensive solutioning of the directional agglomerated gamma prime precipitate (circles) - Etchant: Mixed acids
Figure: Microstructure of IAE 1440 single crystal nickel-base alloy after exposure to 2300 deg F (1260 deg C) that shows solutioning of the gamma prime precipitate is almost complete (circles) - Etchant: Mixed acids
Figure: Microstructure of IAE 1440 single crystal nickel-base alloy after exposure to 2350 deg F (1287.8 deg C) that shows full solutioning of the fine gamma precipitate (circles A) with a small quantity coarse gamma prime precipitate remaining adjacent to eutectic islands (circles B) - Etchant: Mixed acids
Figure: Microstructure of specification heat treated IAE 1440 single crystal nickel-base alloy that shows a relatively dense uniform array of fine gamma prime precipitate (circles A). A coarse gamma prime precipitate (circles B) and gamma/gamma prime eutectic islands (arrows) - Etchant: Mixed acids
Figure: Microstructure of IAE 1440 single crystal nickel-base alloy after exposure to 2050 deg F (1121.1 deg C) that shows a slight agglomeration of the fine gamma prime precipitate the result of which is irregularly shaped particles (circles) - Etchant: Mixed acids
Figure: Microstructure of IAE 1440 single crystal nickel-base alloy after exposure to 2100 deg F (1148.9 deg C) that shows a further agglomeration of the fine gamma prime precipitate (circles) - Etchant: Mixed acids
Figure: Microstructure of IAE 1440 single crystal nickel-base alloy after exposure to 2150 deg F (1176.7 deg C) that shows considerable agglomeration and moderate solutioning of fine gamma prime precipitate (circles). Some solutioning of eutectic phase is seen (arrows A). Arrows B identify spherical casting porosity - Etchant: Mixed acids
Figure: Microstructure of IAE 1440 single crystal nickel-base alloy after exposure to 2200 deg F (1204.4 deg C) that shows solutioning of the gamma prime precipitate is at an advanced stage. The remaining agglomerated gamma prime precipitate is seen as elongated particles arranged in a preferred directional pattern - Etchant: Mixed acid
Figure: Microstructure of IAE 1440 single crystal nickel-base alloy after exposure to 2250 deg F (1232.2 deg C) that shows extensive solutioning of the directionally agglomerated gamma prime precipitate (circles) - Etchant: Mixed acids
Figure: Microstructure of IAE 1440 single crystal nickel-base alloy after exposure to 2300 deg F (1260 deg C) that shows solutioning of gamma prime precipitate is almost complete (circles) - Etchant: Mixed acids
Figure: Microstructure of IAE 1440 single crystal nickel-base alloy after exposure to 2350 deg F (1287.8 deg C) that shows full solutioning of the fine gamma prime precipitate (circles A) and a small quantity of remaining coarse gamma prime precipitate adjacent to eutectic islands (circles B) - Etchant: Mixed acids
Preliminary Requirements
Pre-Conditions
NONESupport Equipment
| Name | Manufacturer | Part Number / Identification | Quantity | Remark |
|---|---|---|---|---|
| Optical microscopic equipment | LOCAL | Optical microscopic equipment | 1000X |
Consumables, Materials and Expendables
NONESpares
NONESafety Requirements
WARNING
Procedure
Figure:

Figure:

Figure:

Figure:

Figure:

Figure:

Figure:

Figure:

Figure:

Figure:

Figure:

Figure:

Figure:

Figure:

Figure:

Figure:

